Die Vollprothese
Wenn im Kiefer keine Zähne mehr vorhanden sind, dann ist eine Total- oder Vollprothese erforderlich. Totalprothesen bestehen aus dem Prothesenkörper und den künstlichen Zähnen. Zur Herstellung des Prothesenkörpers können Kunststoffe und/oder Metalle verwendet werden. Die dazugehörigen Ersatzzähne bestehen in der Regel aus Kunststoff, können aber auch aus Keramik gefertigt werden.
Ein Hauptproblem von Totalprothesen ist der Halt der Prothese, insbesondere im Unterkiefer. Die Haftung der Prothese kommt in der Hauptsache über die Saugwirkung zwischen Schleimhaut und Prothesenbasis oder durch die Wirkung des Luftdruckes zustande. Im letzteren Fall muss der Prothesenrand luftdicht gegenüber der Umgebung abgedichtet sein. Während der Gebrauchsdauer der Totalprothese verändert sich Ihr Kiefer ständig, mit der Folge, dass die Prothese nicht mehr richtig passt. Darum ist für Träger von Totalprothesen ein halbjährlicher Besuch beim Zahnarzt ratsam. Denn nur er kann feststellen, ob Korrekturen an der Prothese notwendig sind. Wenn schlecht passende Prothesen lange Zeit getragen werden, kann das zu Knochenabbau führen.
Totale / Vollprothese einfach
Bei der „einfachen“ Vollprothese wird sowohl für die Prothesenbasis als auch für die Ersatzzähne ausschließlich Kunststoff verwendet. Die Ersatzzähne können bedingt nach Ihren persönlichen Merkmalen und Wünschen bearbeitet werden, so dass die Prothese nicht als solche erkennbar sein soll.
Totale / Vollprothese standard

Bei dieser Variante einer Vollprothese wird die Gaumenplatte aus Kunststoff mit einem Metallnetz verstärkt oder aber komplett aus Metall gefertigt. Die hierzu verwendeten Materialien reichen von der Stahllegierung bis hin zur hochwertigen, biokompatiblen Goldlegierung. Anstelle von Kunststoffzähnen können auch Vollkeramikzähne verwendet werden. Diese lassen sich besonders gut nach ihren persönlichen Merkmalen und Wünschen bearbeiten, so dass ästhetische Aspekte optimal berücksichtigt werden können. Ein weiterer Vorteil der keramischen Konfektionszähne ist ihre hohe Festigkeit (keine Abrasion). Die Herstellung einer solchen Totalprothese ist deutlich anspruchsvoller und aufwendiger und erfordert ein hohes Maß an zahnärztlichem und zahntechnischem Können. Die präzisen Arbeitsschritte sowie die Materialien haben ihren Preis. Dafür erhalten Sie eine ausgesprochen hochwertige, ästhetisch ansprechende und haltbare Versorgung.
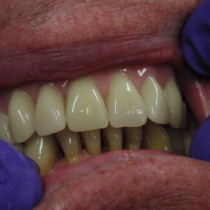
Totale / Vollprothese komfortabel
Die beste und hochwertigste Ausführung einer Vollprothese ist der implantatgetragene Zahnersatz. Je nach Anzahl der eingebrachten Implantate ist es meistens möglich, Ihnen durch die Anfertigung von der festsitzenden Brücke bis zur fest verankerten Totalprothese, Sicherheit im Umgang mit Ihren Mitmenschen, Kaukomfort, Sprachsicherheit und eine ansprechende Ästhetik, zurückzugeben. Bei der Anfertigung einer implantatgetragenen Vollprothese finden alle aufwendigen Meß- und Fertigungsverfahren zusätzlich Anwendung.



























